
Emekli öğretmen Semra Çağlar, kifoz ve skolyoz yüzünden yıllardır çektiği şiddetli ağrılardan fizyoterapist Elif Akıncı’nın geliştirdiği rubatonik pilates sayesinde kurtuldu
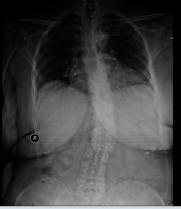
En sık rastlanan postür bozukluklarından biri olan kifoz (kamburluk) ve skolyoz (omurganın sağa ya da sola doğru eğrilmesi) rahatsızlıklarını bir arada yaşayan emekli öğretmen Semra Çağlar, ağrılarından fizyoterapist Elif Akıncı’nın geliştirdiği rubatonik pilates sayesinde kurtuldu. Yaklaşık 10 yıl önce rahatsızlığını fark eden, ablasında ve teyzesinde de aynı hastalık olduğu için bunun kader olduğuna inanarak tedaviyi denemeyen Semra Hanım, Elif Akıncı Pozitif Yaşam Merkezi’ne adım attığı andan itibaren omurga problemlerinin giderilebileceğini anlamış ve bu hastalıkla savaşmaya başlamış. Fizyoterapist Elif Akıncı’nın geliştirdiği egzersiz metodu rubatonik pilates ile ağrıları oldukça hafifleyen, 60 derecelik kifozu 30 dereceye gerileyen ve skolyozunda da ciddi bir düzelme olan Semra Hanım, Elif Akıncı ile tanışmasını, tedavi sürecini ve yaşadığı değişimi şöyle anlatıyor:

“Uzun yıllardır omurga ağrıları çekiyorum. Bel omurlarımda ciddi bir kayma olduğunu çok sonra öğrendim. Yaklaşık 10 yıldır da kamburlaştığımın ve sırtımda eğrilikler olduğunun farkındayım ama bu rahatsızlığın aileden geldiğine inanmıştım. Tedavi edilebileceğini bilmiyordum. ‘Bir korse giyer, sırtımı dikleştiririm’ diye düşünüyordum. Bir gün başka bir sebeple ortopedi doktoruna gittim. O sırada omurgamdaki ağrılar aklıma geldi ve doktora nasıl bir korse kullanmam gerektiğini sordum. O da bu tür rahatsızlıkların tedavisinin olduğunu söyledi, bana birkaç uzmanın ismini verdi. Önerdiği isimlerden Elif Akıncı’nın alanında çok iddialı olduğunu da belirtti. Ben de tanışmak amacıyla şubat ayında Elif Hanım’a gittim.
Elif Hanım beni çok pozitif bir şekilde karşıladı. Rahatsızlığım üzerine sohbet ettik. Yaşım nedeniyle yüzde yüz düzelme olmayacağını ancak egzersizlerle kifozumun ve skolyozumun iyi bir noktaya gelebileceğini söyleyerek, beni ümitlendirdi. Egzersiz yapmazsam ileride neler yaşayacağımı da anlattı.

Rahatsızlıklarım nedeniyle sırtımda çok ciddi ağrılar vardı. Öyle ki ağrılar yüzünden sırt üstü yatamıyordum. Çok acı çekiyordum. Kifozdan dolayı mide rahatsızlıklarım da başlamıştı. Şubat ayında egzersizlere başladık. Mayıs ayına kadar aralıksız devam ettik. 15. seanstan itibaren bende hızlı bir değişim oldu. 60 derecelik kifozum 30 dereceye kadar geriledi. Doktorum bile çok şaşırdı. Hatta bu sonuç karşısında Elif Hanım ve diğer fizyoterapist arkadaşlar sarıldık, kucaklaştık. Bunun yanı sıra skolyozumda da gerileme olduğunu öğrendim.”

Artık kendisini çok iyi hissettiğini, ağrılarının ciddi derecede hafiflediğini söyleyen Semra Hanım, “Kifozdan dolayı mideme olan baskı azaldı. Merdivenleri daha rahat çıkabiliyorum. Önceden yattığım yerden kalkmak benim için çok zordu, debelenip duruyordum. Burada uzman arkadaşlar yan dönerek kalkmayı öğrettiler ama ben egzersizler sonrası yattığım yerden direk kalkabiliyorum. Her şeyden önce farkındalığım arttı. Önceden eğri durduğumun çok farkında değildim, doğal duruşum gibiydi. Şimdi eğildikçe sıkıntı hissedip, kendimi hemen toparlıyorum. Herkes duruşumun değiştiğini fark ediyor” dedi.
Elif Akıncı Pozitif Yaşam Merkezi’ne geldiği için şanslı olduğunu söyleyen Semra Hanım, “Burayı, Elif Hanım’ı ve diğer uzman arkadaşları çok seviyorum. Öyle ki benim gibi bu rahatsızlığı yaşayan akrabalarımı ‘Gidin, bunun çaresi var, kabullenmeyin’ diyerek Elif Hanım’a yönlendiriyorum. Zaten kendim de ikinci tur seansa başladım. Haftanın 2-3 günü buradayım. Buraya geldiğim için çok mutlu, çok memnunum. Buranın çok güzel bir enerjisi var. Motive oluyoruz. Elif Hanım öyle ümitli konuşuyor ki rahatsızlığımın düzeleceğine inanarak başladım eğersizlere, öyle de oldu” diye konuştu.